干货|一篇掌握肩袖损伤的诊断与治疗
2021-08-17 文章来源:骨科在线 我要说
肩袖损伤是临床常见的肩关节疾病,其发病率约占肩关节病17%-41%,其中冈上肌损伤最常见,约占肩袖损伤的50%。本病症状不典型,往往造成漏诊、误诊而影响早期修复。
肩关节解剖结构
肩袖是由冈上肌、冈下肌、肩胛下肌及小圆肌的腱性部分组成的鞘状结构。它包绕盂肱关节、肱骨头、关节囊,形成近似袖套样肌样结构,具有保持肱盂关节稳定,维持上臂各种姿势和完成各种运动的功能。

图1肩关节骨解剖 1.锁骨2.肩胛骨3.肩峰4.喙突5.肱骨头6.关节盂

图2 肩袖解剖1.肩胛下肌2.冈上肌3.冈下肌4.小圆肌


图3 肩袖肌肉解剖
肩袖损伤病因
1.创伤是青少年肩袖损伤的主要原因。
2.血供不足引起肩袖组织退行性变。
3.肩部慢性撞击性损伤。Neer(1983)认为95%肩袖损伤是长期肩部撞击磨损的结果,循环障碍和创伤不是主要原因。
肩袖损伤分型
肩袖损伤有多种分型方法,主要依据肩袖损伤的深度、撕裂大小、肌腱的质量等因素进行分型。
一、Neer肩袖损伤病理分期
I期 可逆的水肿炎症期,肌腱出现水肿和出血,尤其是冈上肌腱
II期 腱性组织纤维化和慢性炎症期(包括不伴有肩袖撕裂和合并有部分肩袖撕裂)
III期 肩袖纤维完全性坏损,全层撕裂
二、肩袖损伤四种类型
(1)新月形撕裂
(2)U形撕裂
(3)L形和倒L形撕裂
(4)巨大回缩性不可移动性撕裂

图4 A.新月形;B.U形;C.L形;D.巨大回缩不可移动性
三、肩袖损伤根据深度可分为部分损伤和全层损伤。部分损伤可分为滑囊侧损伤、关节侧损伤以及肌腱内损伤,全层肩袖损伤有Post分型和Gerber分型等。
1、Post分型
(1)小型损伤,<1cm
(2)中型损伤,1-3cm
(3)大型损伤,3-5cm
(4)巨大损伤,>5cm
2、Gerber分型
①小型损伤,仅涉及1条肩袖肌腱
②巨大损伤,涉及2条及以上肩袖肌腱
③不可修复性损伤,涉及2条或2条以上肩袖肌腱,并且MRI显示肌腱内脂肪浸润,术中松解后在外展60°仍不能将肩袖组织外移至肌腱止点处。

图5 Gerber分型
临床表现及诊断
肩袖损伤多见于40岁以上男性,主要临床表现为肩关节疼痛和活动受限。疼痛多位于肩前方,三角肌前方及外侧,多在活动或增加负荷后加重;压痛多见于肱骨大结节近侧,或肩峰下间隙部位。主动活动受限以外展、外旋及上举受限较明显;被动活动受限不明显。肩袖损伤的诊断应综合考虑患者主诉、体格检查和影像学检查等。
一、查体
1、视诊和触诊:
视诊主要观察三角肌、肩胛肌、方肩等。触诊需要检查肩锁关节、肱骨大结节、结节间沟的压痛,看是否合并其他病变。
2、活动度:
活动度检查包括主动活动度和被动活动度检查,两侧对比。肩关节活动度包括前屈上举、体侧外旋、体侧内旋、外展90°外旋及内旋等。
通过Apley Test(摸背实验)可以粗略的观察肩关节内旋、外旋活动度。

图6
二、特殊试验
1、肩峰撞击实验
(1)Neer试验:检查者立于患者背后,一手固定肩胛骨,另一只手保持肩关节内旋位,使患肢拇指间向下,然后使患肩前屈过顶。如果诱发出疼痛,即为阳性。

图7
(2)Hawkin’s试验:患者肩关节内收位90°,肘关节屈曲90°,前臂保持水平,治疗师用力使患者前臂向下致肩关节内旋,出现疼痛为试验阳性。阳性提示:肩袖肌腱撞击喙肩弓,肩前部疼痛提示撞击综合征。

图8
2、冈上肌抗阻实验
(1)Jobe试验:肩外展90°,然后内旋并向前30°,前臂旋前拇指尖向下。在此体位上,治疗师向下加阻。患者上抬抗阻阳性-无力或疼痛;提示冈上肌腱病变、肩峰撞击综合征。

图9
(2)落臂试验:检查者将患者肩关节外展至90°以上,嘱患者自行保持肩外展90~100°的位置,缓肩无力坠落者为阳性。该试验对诊断冈上肌损伤具有高度的特异性,但阳性率不高,多见于冈上肌完全撕裂的病例。

图10
3、肩胛下肌实验
(1)Lift off test(Lift off试验)
患者将手置于背部,手心向后,然后嘱患者将手抬离背部,治疗师适当给予阻力。阳性-不能完成动作,提示肩胛下肌损伤。

图11
(2)拿破仑试验(Napoleontest)
Napoleon test:患者将手至于腹部,手背向前,屈肘90°,肘关节不要贴近身体,检查者将患者手向前抬,嘱患者做抗阻压腹运动,两次对比,力弱者为阳性。

图12
4、冈下肌&小圆肌肌力检查(外旋)
(1)外旋抗阻试验
外旋抗阻试验:肩处于内收位,屈肘90°,肘部处于体侧并夹紧,嘱患者双臂外旋抗阻。

图13
(2)吹号征

图14
三、影像学检查
1、X线检查
X线检查用来评估肩峰形态,肱骨头和肩盂的关系,以及除外其他疾病。

图15 a.正常肩关节 b.肩峰撞击

图16 巨大肩袖损伤,肩峰下间隙<9mm
2、MRI检查
MRI目前是诊断肩袖疾病中最常用的检查,可以直观的观察肩袖肌腱。

图17 冈上肌

图18 冈下肌

图19 肩胛下肌

图20 小圆肌

图21 斜冠状位(临床常用)a.T2,b.T1

图22 斜矢状位 a.冈上肌出口,肩袖诊断不如斜冠状位;b.冈上肌及肌腹脂肪浸润成度,评估手术与否

图23 横断位a.正常肩胛下肌;b.肩胛下肌损伤

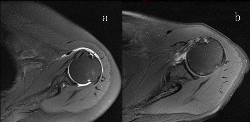
图24 a.肩袖全层撕裂;b.正常MRI

图25 巨大肩袖损伤(冈上肌)
3、超声检查
超声检查是一种可靠、快速的检查手段,可以同时检查双侧肩关节,但其准确性对操作者依赖性较强。
鉴别诊断
1、肩周炎(冻结肩,五十肩),主要表现为主动活动和被动活动均受限明显。
2、肱二头肌长头腱炎,主要表现为结节间沟压痛明显。
3、钙化性肩袖肌腱炎,通常表现疼痛剧烈,通过X线可诊断。
4、四边孔综合征,以肩外侧麻木和肩外展无力或受限为表现,通过电生理检查可发现三角肌丢失神经支配电位,腋神经传导速度减慢。
5、创伤后肩关节粘连
治疗方式
肩袖损伤治疗分为非手术治疗和手术治疗,两者均有各自适应证,应严格把握。
一、非手术治疗
对于怀疑有肩袖损伤的老年患者或活动量小、病程短、肩袖部分撕裂的患者,早期多主张进行保守治疗。包括(1)非甾体类抗炎药物;(2)肩峰下封闭注射;(3)物理治疗,包括离子导入、超声透疗、神经电刺激、推拿等。治疗同时配合肩关节功能锻炼,可获得良好疗效。
二、手术治疗
如保守治疗3-6个月,病情无好转,或完全肩袖损伤的患者则考虑手术治疗,其目的是阻断病理过程、解除疼痛、恢复肩关节稳定功能。
目前手术方式包括开放或关节镜下修复,肩袖部分撕裂清创或修复,肩峰下减压,肌腱转位、补片技术及上关节囊重建,反肩置换术等。
肩袖损伤在治疗上存在很多不确定因素,要针对患者制定个性化治疗方案,严格把握治疗指征,深入理解肩袖损伤,是提高治疗肩袖损伤成功率的关键。
参考文献:
1.《坎贝尔骨科手术学第5卷运动医学及关节镜》
2.《实用骨科运动损伤查体》
3.《肩关节运动医学常见疾病影像学图谱》
4.《肩袖损伤的处理临床实践指南(2019)》



京公网安备11010502051256号