ALIF、XLIF、OLIF技术的优势比较
2019-10-31 作者:武警特色医学中心 汤冀强 夏群 我要说
目前,临床上应用的腰椎椎间融合术种类繁多,根据手术入路方式不同,可分为后入路(Posterior LIF)、关节突(Transforaminal LIF)、前入路(Anterior LIF)、侧入路(Extreme lateral LIF)、斜入路(Oblique LIF)等。
本文主要针对ALIF、XLIF、OLIF技术的优势和不足,并结合具体病例进行比较,以期对各位同仁的临床工作有所帮助。

前入路(ALIF)腰椎椎间融合术
ALIF技术已出现多年,在发展过程中出现了一些问题。比如专科化培养模式阻碍了广泛开展;脊柱外科医生往往不太熟悉腹部入路,造成血管、神经损伤风险;欧美多需要外科医生作为“入路医生”协助暴露等,为顺应发展趋势Mayer提出(mini-open)ALIF。
临床表明,该技术具有不破坏后侧张力带结构;压应力侧植骨,力学稳定性好;可通过切除病变间盘,消除椎间盘源性疼痛;恢复椎间高度,进而通过神经根通道间接减压;椎间植骨面宽,融合率增高;创伤小、恢复快、不易损伤神经根等优势。

ALIF效果

腹膜后解剖

ALIF并发症(文献)
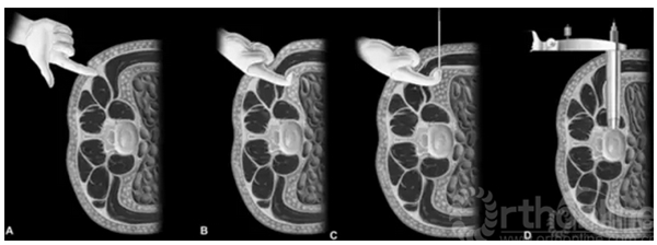
侧入路(XLIF)腰椎椎间融合术
Pimenta(2001)提出从侧方进入脊柱进行融合的方法,远离血管操作。
目前临床上进行侧入路(XLIF)腰椎椎间融合术,切口大约3-4cm。手术通常分离腹壁肌肉后,向前推开后腹膜,触及腰大肌并于椎间盘插入导针,逐层扩张并放入撑开器撑开,光源辅助下行间盘切除和融合。手术操作限于椎体中前部,避免了大血管相关并发症,且Cage覆盖椎体的两侧边缘。

XLIF示意
XLIF的不足主要体现在由于髂骨阻挡,不能用于L5/S1区域的处理;腰大肌内走行有腰丛神经分支,尤其L4/5节段,需要注意;术后可能出现大腿疼痛、麻木、无力;腰大肌内有血管垂直分布在椎间盘的侧方;穿刺、扩张过程可能损伤血管,出现出血、血肿的情况。
针对以上不足之处,可通过术中神经电生理监测(有一定假阴性)、直视下分离腰大肌、改进扩张器减少对腰大肌的挤压或在没有神经走行的“安全区”操作规避。
斜入路(OLIF)腰椎椎间融合术
OLIF最早由法国学者Silvestre 提出(2012),其操作避开腰大肌进行,可利用大血管和腰大肌之间隙,不结扎节段血管,小切口内可进行3个节段的操作。

OLIF入路示意
不足之处主要体现在入路局限(多为左侧);手术节段局限(仅用于L2-5);间接减压局限,不能直接摘除突出的间盘。血管腰大肌间隙小(椎体退变旋转)是其手术操作的禁忌症。术中可能出现交感神经,由于牵拉挤压干扰,术后可能出现肢体冷热障碍。
ALIF、XLIF、OLIF的比较























单纯前路Cage稳定性如何?


疲劳稳定性
疲劳次数为5万次,单纯前路Cage无任何移位。



术后处理
30度仰卧位,一般术后短时即可排气,可不放置引流管,佩戴腰围下地活动,7d拆线。3m内禁止腰部过屈过伸活动。
小结
总而言之,在临床工作中手术技术的掌握要“全面”;适应证选择取决于“疾病”;入路的选择取决于“节段”。不应只“拘泥于”某种技术,应该综合考虑,秉承“又小又快又好又省”的原则。



京公网安备11010502051256号