内固定又双叕松了?成人脊柱畸形术后内固定失败常见原因及预防措施
2019-12-26 文章来源:南京大学医学院附属鼓楼医院 李洋 史本龙 朱泽章 我要说
骨科在线版权所有,如需转载请注明来自本网站.
成人脊柱畸形矫形手术的主要目的包括改善患者腰背痛症状、阻止畸形进展、获得良好的椎体间融合、维持躯干平衡等。成人脊柱矫形手术矫形难度高,通常需要使用后路三柱截骨术才能达到更好的矫形效果。目前随着手术策略和手术技术的完善,围手术期并发症发生率已明显降低。而术后中远期出现的并发症,包括感染、内固定失败、假关节形成等仍然严重影响患者预后。
一、内固定失败类型及原因
1.近端内固定失败
成人脊柱畸形术后近端内固定失败主要包括:(1)近端交界性后凸或近端交界性失败(PJK/PJF)(图1);(2)近端整体后凸合并矢状面失平衡。影响PJK发生的手术因素包括内固定的类型、手术方式、近端弯棒曲率、融合节段选择等。同时,手术时对于上固定椎的暴露过度以及过多破坏后方韧带复合体也会增加PJK发生率。

图1 男,66岁,半年前因腰椎管狭窄于当地医院行L1-S1内固定减压融合术,术后2年出现近端交界性后凸,PJA角度20°,伴T12-L1椎管狭窄;于我院行翻修术,去除松动的L1螺钉,行T12-L1 TLIF并将内固定上延至T10,术后1年无PJK(b)
2.内固定远端内固定失败
出现远端内固定失败的危险因素主要包括高龄、肥胖、骨质疏松等。患者术前存在较大的骨盆入射角或严重的矢状面失平衡,术后腰椎前凸及矢状面平衡重建不良也是其发生的危险因素。此外,手术时内固定植入不牢固、骨质疏松(图2)、机械负荷过大、融合区域不稳导致内固定机械应力过大、以及外伤或术后从事体力劳动等也是腰骶部内固定失败的原因。

图2 女,63岁,多发骨质疏松性骨折(T11,L1,L4),类风关病史,长期服用激素(b, c);初次手术行骨折切开复位内固定(T9-L3),其中T9,T10,L2及L3均使用骨水泥螺钉加强,L4椎体行骨水泥注入(d);术后3个月出现远端交界性失败(DJK),L3螺钉拔出,矢状面躯干失平衡(e, f);行翻修术,将内固定延长至骨盆并使用S2AI螺钉固定,L4/5及L5/S1行TLIF支撑(g, h)
3.三柱截骨区术后断棒
成人脊柱畸形三柱截骨术后断棒发生率高达7.1~15.8%。内固定棒的断裂多发生于术后2年内,断裂水平多与截骨水平一致,其危险因素包括残留后凸畸形、前柱缺损、单棒内固定、外伤、钛网移位等(图3)。

图3 女,41岁,术前X片示侧凸及后凸顶椎均为L1(a, b),因此行L1 PSO截骨术, 前路钛网支撑融合(c),术后1年截骨区假关节形成,出现双棒断裂,钛网倾斜(d),遂行前后路联合翻修术,翻修术后6年无内固定失败(e, f)
二、内固定失败预防策略
1.远端融合椎的合理选择
对于成人退变性脊柱畸形患者的手术矫形,LIV选择在L5会导致L5-S1椎间盘退变的风险逐渐增加,随着随访时间的增长,可能导致患者矢状面失平衡及下腰痛。同时,L5螺钉断裂或向尾端拔出可能损伤到L5神经根,导致患者出现足下垂。因此,对于ASD患者而言,延长内固定到骶骨,可以有效预防内固定失败的发生。
2.重建合适的矢状面平衡
重建合理的矢状面平衡是预防远端内固定失败发生的重要手段。制定手术策略时,SVA应恢复到±5cm的范围内。患者可以通过骨盆后旋或膝关节的屈曲对矢状面失平衡进行代偿,导致骨盆倾斜角(PT)增大,因此术前评估矢状面序列时,患者应保持膝关节伸展,髋部和膝关节同时接触墙壁。术后重建矢状面时,应将PT控制在25°之内。而对于骨盆入射角(PI)较大的患者,则需要重建更大的腰椎前凸。综上,重建合理的矢状面平衡包括SVA<5cm, PT<20°以及PI-LL<±10°,可以有效预防术后远端内固定失败的发生(图4)。

图4 女,65岁。X片示矢状面严重失平衡(a),术前存在右下肢不全瘫;原定手术方案为L4 PSO截骨术,但术中出现MEP事件,且出血较多,因此未行三柱截骨,仅行后路减压及内固定术,术后X片示矢状面形态稍有改善,但是没有达到矫形的目标(b);术后10个月随访,患者躯干失平衡较术后加重,与术前类似(c)。该患者证明如果手术没有很好地重加矢状面形态,将是内固定失败和矫正丢失的重要危险因素
3.卫星棒技术
卫星棒技术在严重脊柱畸形的三维截骨术中的应用显著降低了断棒的发生率,该技术于截骨区两侧置入双头连接器,卫星棒经双头连接器与同侧的矫形主棒进行连接以形成统一的整体,交替加压矫形(图3、图5)。
与传统双侧棒相比,卫星棒技术的优点包括:
(1)使用坚强的内固定如多棒系统或高强度棒可为患者提供坚强支撑,有助于降低内固定失败的危险。刘臻教授等将卫星棒技术应用于13例严重脊柱侧后凸三柱截骨术中,平均随访时间为15.8个月,无一例出现断棒。
(2)多棒系统可以分散围截骨区的应力。成人脊柱畸形行三柱截骨术后往往伴有一定程度的前柱缺陷,截骨顶点处承受较大的前屈应力,术后短期内稳固的骨性愈合尚未行成,卫星棒的使用可以有效分散后凸截骨区的应力。
(3)可有效闭合截骨面,提高矫形效果。三柱截骨后如使用传统的双棒矫形,置棒时往往会出现截骨面闭合较差甚至不闭合,从而影响矫形效果。而采用四棒交替加压抱紧矫形,可以极大限度闭合截骨面,从而提高畸形矫正率。

图5 女性,33岁,成人先天性脊柱侧后凸畸形。X片示T12楔形变,胸腰段角状侧后凸畸形(a, b),行T12全脊椎切除术(T12 VCR),并于截骨区使用卫星棒加固(c, d),术后两年无内固定失败或矫正丢失(e, f)
4.坚强的前路支撑
前柱支撑的优势包括可以提供直接的机械稳定性,抵抗轴向压缩和弯曲的力矩,提高融合率,并且可以有效改善患者的冠状面和矢状面失平衡。前柱支撑可以采用前方(ALIF)、后方(TLIF)或侧方(LLIF)入路等多种不同的方法实现,不同的手术方案其融合率和临床疗效均无显著差异,其中腰骶交界区的前方支撑一般使用TLIF或ALIF达到(图6)。

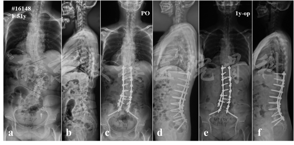
图6 女,51岁。X片示冠状面Cobb角50°,矢状面无明显失平衡或腰椎后凸(a, b),因此无需进行三柱截骨,行后路T10-S2内固定,L4/5、L5/S1 TLIF(c, d),术后1年,内固定在位,融合好,冠矢状面平衡保持良好(e, f)
综上,在成人脊柱畸形三柱截骨时,合理地选择手术方式和技巧既可以获得畸形矫正、坚固的融合以及理想的矢状面序列,又可以降低术后截骨区断棒、远端腰骶交界区内固定失败的发生率。
作者简介

李洋
南京大学医学院临床医学博士在读,师从南京大学医学院附属鼓楼医院朱泽章教授,至今共发表学术文章6篇。

史本龙
南京大学医学院附属鼓楼医院骨科主治医师,2014-2015年香港中文大学访问学者。目前以第一作者发表论文20余篇,其中SCI论文11篇,所撰写论文先后在SRS、IMAST、EUROSPINE等国际性脊柱外科学术会议上交流。以第一完成人身份承担课题共三项,参编参译专著5部。
现任中国康复医学会脊柱脊髓专业委员会脊柱外科神经电生理学组副主任委员、中国残疾人康复协会肢体残疾康复专业委员会脊柱康复学组青年学组委员、中国医促会加速康复外科学分会脊柱外科康复学组委员。

朱泽章
南京大学医学院附属鼓楼医院骨科主任医师,教授,骨科行政副主任,南京大学及南京医科大学博士生导师。
国际脊柱侧凸研究学会(SRS)会员,国际脊柱侧凸研究学会全球教程委员会委员,国际脊柱畸形研究组中国部理事,国际矫形与创伤外科学会(SICOT)中国部骨科基础学会常务委员,国际脊柱学会(AOSpine)中国理事会Research Officer。中国医师协会骨科医师分会脊柱畸形委员会副主任委员, 中国医师协会显微外科医师分会显微神经、脊柱专业委员会第一届委员会副主任委员,中国康复医学会脊柱脊髓专业委员会脊柱畸形学组副主任委员,中国医药教育协会脊柱分会青年委员会主任委员,海峡两岸医药卫生交流协会第一届骨科分会脊柱专业委员会副主任委员,南京医学会骨科专科分会候任主任委员等。担任《BMC Musculoskeletal Disorders》副主编,美国脊柱侧凸协会官方杂志《Spine Deformity》编委,《Annals of joint》编委,《Spine》杂志中文版编委,《中华骨科杂志》通讯编委,《中国脊柱脊髓杂志》编委,《中国矫形外科杂志》编委等。
全国首届十佳中青年骨科医师,江苏省医学重点人才,江苏省“333工程”人才,南京市中青年行业技术学科带头人,江苏省“十大青年科技之星”,南京市有突出贡献中青年专家,南京市最美创新创业人物,荣获“中国医师协会骨科医师分会突出贡献奖”,“中华医学会骨科学分会骨科创新与转化奖一等奖”,“《中华外科杂志》青年骨科学者奖一等奖”等荣誉。
在Nature Communications,J Bone Joint Surg Am等杂志以第1作者(或通讯作者)发表论文著作200余篇,其中SCI论文98篇(单篇影响因子>5分5篇,单篇最高影响因子12.12),参编参译专著17部,其中主译5部,副主编2部,拥有专利5项,其中发明专利1项。研究成果获国家级、省部级等各级奖励20多项,包括2009年国家科技进步二等奖(排名第3),2016年高等学校科学研究优秀成果奖科学技术进步二等奖(排名第一),2016年中华医学科技奖二等奖(排名第一),2016年江苏医学科技奖一等奖(排名第1),2016年江苏省医学新技术引进二等奖(排名第1),2012年度江苏省科技进步二等奖(排名第1),2012年江苏省医学新技术引进一等奖(排名第1)。目前以第一负责人主持国家自然科学基金面上项目4项、江苏省医学重点人才依托课题、江苏省“六大人才”高峰资助项目等科研课题12项。所撰写论文先后在加拿大、捷克、美国、日本、比利时、英国、奥地利、意大利、马来西亚、德国、西班牙、南非、芬兰等国举行的国际性脊柱外科学术会议上交流。



京公网安备11010502051256号