小心罕见骨折,稍有不慎就会漏诊
2020-12-31 我要说
引言
Hoffa骨折是指股骨髁部冠状面的骨折,又称股骨下端单髁或双髁后方的冠状位骨折,属关节内骨折。
1869年,首次由Friedrich Busch描述;1904年,Albert Hoffa再次对上述骨折进行了报道,并以他名字命名。一般骨折通常发生水平面,而Hoffa骨折发生在冠状面,加上又非常少见,因此,在临床和影像学初次诊断时经常会被漏诊。
流行病学
股骨远端骨折占所有成人股骨骨折的7%,,Hoffa骨折更为罕见。Hoffa骨折常见于成年人,小儿骨折也有报道。它与股骨远端髁间髁上骨折一样,是一个独立的损伤。
但Nork等报道,38%的髁间髁上骨折存在Hoffa骨折。与股骨干骨折损伤一致,常伴有伸肌腱断裂、膝关节和髌骨骨折脱位。股骨外髁损伤多于内髁。
在Nork系列的报道中,85%Hoffa骨折累及外侧髁,发生在内髁的仅为15%。单一的双髁Hoffa骨折、开放性Hoffa骨折也较为常见,而开放伤极有可能发生双髁骨折。
发生机制
Hoffa骨折是膝关节股骨髁突受到剪切暴力引起。高能量损伤往往引起股骨远端髁间髁上骨折。最常见的机制,包括机动车辆和机动车意外事故以及高处坠落伤。Lewis等人指出,大部分患者相关损伤是其骑电单车膝关节屈曲90°时外侧股骨髁受到直接冲击暴力引起。
临床表现
单一的Hoffa骨折主要症状有膝关节积液与关节积血,肿胀,以及轻微的膝内翻或外翻、膝关节不稳定。与髁间髁上骨折不同的是,Hoffa骨折极有可能在影像学检查时被偶然间发现。因为大多数Hoffa骨折来自高能量损伤,必须排除合并髋部、骨盆、股骨、髌骨、胫骨、膝关节韧带与腘血管的损伤。
影像学诊断
常规行标准的正侧位片,必要时行膝关节斜位才能检查出来。当骨折移位不明显的时候,X线片通常很难被发现。
在侧位上,有时会看到股骨关节线的轻微不一致,根据累及的髁部情况伴有或不伴有髁内外翻畸形。根据股骨的轮廓,通过侧位片,可以看到骨折线的不连续或台阶出现。然而,对一个真正的侧位片,股骨髁显示不重叠的,如果髁部出现缩短和移位时,反而股骨髁可能会出现重叠。
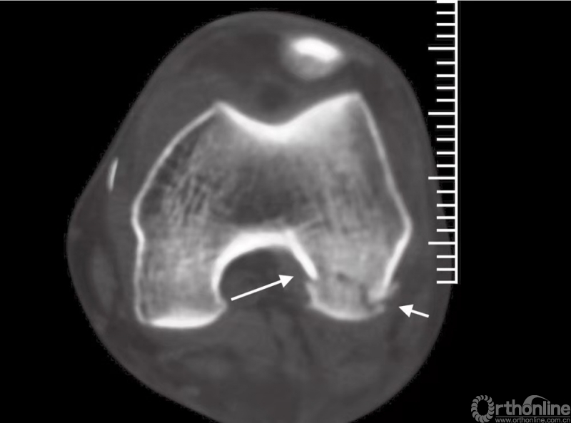
因此,不正确的正常膝关节视图将会给我们留下错误的印象,斜位片也可以帮助显示,因而,CT检查是必要的(图1)。而磁共振成像(MRI)会有助于评估膝关节周围软组织(例如韧带或半月板)损伤情况。

图1 CT显示患者存在LetenneurⅡC型股骨外侧髁Hoffa骨折
分型
Hoffa骨折根据Muller's的分型方案分为B3型和AO/OTA分型中的33.b3.2型,后来,Letenneur等依据股骨骨折线位于股骨后侧皮质的距离,将骨折分成3型(图2)。

图2 Hoffa骨折Letenneur分型
Ⅰ型:骨折线位于且平行于股骨干后侧皮质。
Ⅱ型:骨折线到股骨后侧皮质线的距离,又根据折线到后侧皮质骨的距离多少,分成Ⅱa, Ⅱb和Ⅱc亚型,Ⅱa型离股骨干后侧皮质最近,而Ⅱc离股骨干后侧皮质最远。
Ⅲ型:斜行骨折。
Lewi等人研究附着软组织以及Hoffa骨折外侧髁血供的影响,Ⅰ型骨折线可能经过前交叉和外侧副韧带的一边,但是腓肠肌和腘肌外侧头仍然附着骨折端。Ⅱ型骨折随着骨折线移向后侧大部分失去软组织附着,Ⅱc型没有软组织附着,Ⅲ型骨折血液与软组织附着不受影响,但该研究成果并未得到Letenneur分型证实。
治疗
保守治疗效果较差,主要是因为高能量剪切暴力使骨折在失状位移位(屈曲或伸直)和在冠状位内翻或外翻畸形。目前普遍认为切开复位内固定是金标准。也有报道2例Hoffa骨折利用在关节镜下辅助复位内固定。
内固定选择
对于Hoffa骨折,可供选择的合适固定内植物是相当有限的。部分螺纹空心加压螺钉是固定的理想选择。植入物的选择包括3.5mm、4mm、4.5mm和6.5mm部分螺纹空心加压螺钉以及Herbert螺钉。当情况需要时,合适的抗滑钢板也可用在此处。Jarit通过尸体生物力学研究,发现后前位拉力螺钉比前后位拉力螺钉更稳定。然而,这一发现对临床操作的指导作用仍不明确。
外科技术
当发现Hoffa骨折伴有髁间髁上骨折时,要引起足够重视,因为手术方案和内固定的选择是根据上述情况来决定的,若外侧髁是冠状位劈裂的,手术暴露同Hoffa骨折类似。但使用动力髁螺钉是不明智的,应改用解剖钢板或髁支持钢板或LISS钢板来固定。内侧髁很难通过外侧切口固定,在这种情况下,需要增加一个前内侧切口复位和固定Hoffa骨折。在任何情况下,所有主要的髁部骨块应用拉力螺钉技术,在髁部解剖复位后再行骨折固定。
著者倾向方法
患者在可透视床上仰卧位,上止血带。应用摇枕保持膝关节屈90°左右角度。对于单纯的内侧Hoffa骨折,著者倾向于使用正中切口与内侧髌旁入路切开。外侧的Hoffa骨折,使用外侧切口。
有些医生建议外侧髌旁入路切开也是一个合理的选择。一旦骨折端暴露就要常规进行探查,然后对骨折端用刮匙进行清理。在直视下,利用点式复位钳复位。必要时,利用克氏针的“操纵杆”技术来复位,然后用克氏针复位固定,防止骨折移位,但克氏针不能阻碍其他螺钉的植入(图3)。至少用两枚螺钉来实现稳定的固定和骨折块间加压。垂直骨折端进行钻孔,并远离髌股关节。
避免钻孔进入后关节腔,最好再用C臂机透视验证。螺钉根据需要是否使用垫圈。螺钉需埋头并应具有足够的长度对关节下软骨固定。术中,检查膝关节伴随损伤、稳定性和运动范围以及在伤口关闭之前进行彻底的冲洗。

图3 双髁Hoffa骨折的术中克氏针临时复位固定,用克氏针对骨块进行撬拨复位
术后处理
术后即可进行主被动的功能锻炼,由于骨折端的剪切力,8~12周才能下地负重。如果该骨折块太小或怀疑固定不稳定性(骨质疏松),膝关节需要固定4~6周。每隔4周复查一次X线片,评价骨折的愈合情况。
并发症
并发症包括:复位失败与内固定失效;骨不连;关节僵硬与疼痛;韧带松弛;创伤性关节炎。
文献综述
由于Hoff骨折非常少见,文献对它的报道仅限于个案报道与少数病例。详细的英文文献检索显示,论文只有14篇共有52例成人Hoffa骨折。其中,报道最多的一组病例是7例。此外,4篇文学报道5例双侧髁Hoffa骨折患者。1例成人和小儿骨不连的文章发表在影像学杂志上。
到目前为止,报道最多Hoff骨折病例数来自Harborview医疗中心,西雅图,华盛顿,美国Hoffa骨折,18例含有双髁的Hoffa骨折。然而,没有后续治疗效果的任何信息,以及相关治疗的疗效。此外,3篇个案报道报导了小儿Hoffa骨折。一般骨科参考书都缺乏Hoffa骨折治疗方案,甚至,有部分教科书都没有提过Hoffa骨折。从我们的治疗经验和发表的文献来看,切开复位拉力螺钉能获得良好的治疗效果,膝关节稳定与功能良好。
来源:《关节内骨折治疗精要》
译者:禹宝庆 张殿英 苏佳灿



京公网安备11010502051256号