骨科常见疾病X线解析之肱骨髁上骨折
2021-01-06 我要说
肱骨髁上骨折发生在肱骨髁与肱骨干之间的相对薄弱部分,本病多见于5~8岁儿童,一般常分为屈曲与伸展二型,但在每型中都常兼有桡偏或尺偏者。
一、新鲜性肱骨髁上骨折
(一) 屈曲型
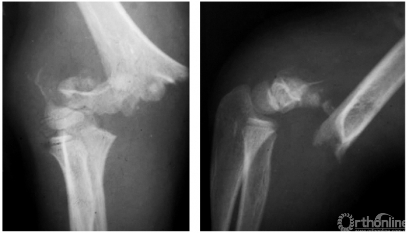
例:屈曲型兼桡偏,即远折端向前向内移位(图1)。

图1
(二) 伸展型
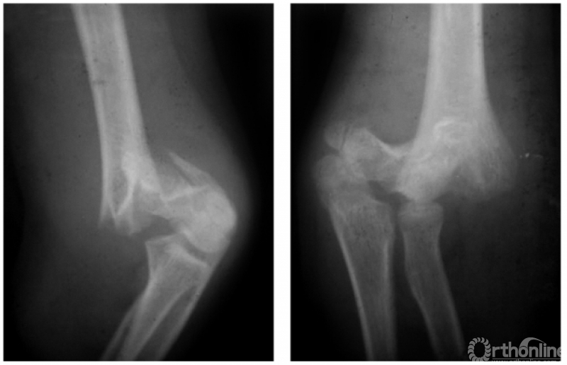
例1:伸展型兼桡偏,即远折端向后向外移位(图2)。

图2
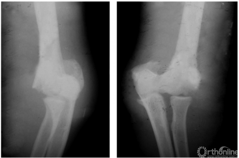
例2:伸展型兼尺偏,即远折端向后、向内移位(图3)。

图3
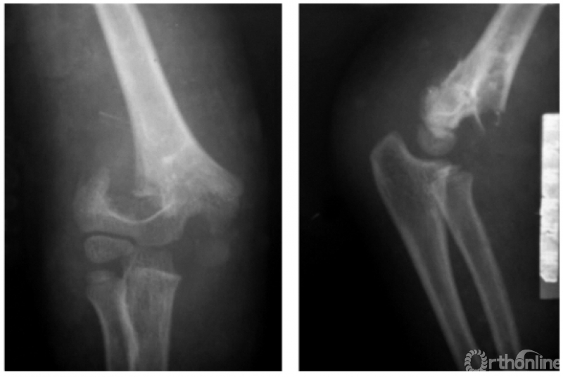
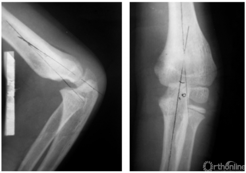
例3:伸展型兼尺偏并上尺桡关节脱位,即远折端向后、向内移位并上尺桡关节分开(图4)。

图4
例4:伸展型兼桡偏并肱骨内上髁Ⅱ度折,即远折端向后、向外移位,并内上髁骨块移至尺肱关节水平(图5)。

图5
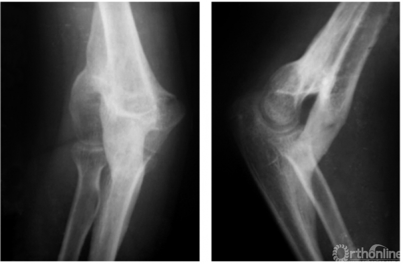
(三) 纵轴旋转型
例:髁上骨折,远折端有纵轴旋转致远近两断面的宽度很不协调(图6)。

图6
二、陈旧性肱骨髁上骨折
例1:陈旧性伸展型肱骨髁上骨折,致肘内翻畸形及前倾角消失(图7)。

图7
例2:伸展型肱骨髁上陈旧折,完全向后上移位的骨折远端,在被掀起的骨膜下成骨,已为肱骨下段重建了新的关系;而向前下移位的近折端已与尺骨近端形成骨性连接。致患肘被固定在肘曲40°位置上(图8)。

图8
来源:《骨科疾病X线片百例解》
作者:闻善乐



京公网安备11010502051256号