一文掌握猫眼腰椎侧方椎间融合技术
2021-03-10 文章来源:浙江大学医学院附属第二医院脊柱外科 作者:李浩 陈其昕 我要说
来源:浙江大学医学院附属第二医院脊柱外科
作者:李浩 陈其昕
侧方入路腰椎间融合术(lateral lumbar interbody fusion,LLIF)是近年来发展起来的一种采用特殊通道或撑开器进行操作的脊柱微创术式,根据其腰大肌处理方法的不同可分为:经腰大肌入路的XLIF/DLIF技术和经腰大肌前方入路的OLIF技术。
与传统的后路腰椎开放手术需要剥离椎旁肌肉、骚扰椎管不同,LLIF经腹膜后间隙直达需处理的椎间隙进行椎体间融合,并可完成间接减压以及冠状面或矢状面的矫形。
目前LLIF已成为腰椎融合常用的技术之一,并引起广大国内脊柱外科同行们的关注,该项技术的手术适应证也从最初单纯治疗盘源性腰痛拓展到目前治疗中、重度的退行性腰椎侧后凸畸形及Ⅰ-Ⅱ°腰椎滑脱症等多种疾病。通过严格的把握适应证,最大程度发挥LLIF的微创优势,临床疗效令人满意。
但迄今为止仍存在一些问题,总的说来主要包括手术入路、融合器和畸形矫正相关的三大问题。
猫眼侧方入路腰椎椎体间融合术(crenel lateral interbody fusion,CLIF)是浙江大学医学院附属第二医院脊柱外科陈其昕、李方财教授团队在总结传统LLIF技术并针对上述三个问题进行深入研究基础上,提出的系列技术改进的解决方案,克服了以往手术技术的不足,提高了手术的安全性、可操作性和手术疗效,降低了手术的并发症。现就该项技术作简要介绍:
一、 CLIF手术入路改进
手术入路是LLIF技术主要的障碍因素。既往XLIF技术经腰大肌解剖目标椎间隙,采用特殊机械扩张套管进入目标椎间,操作无需其普外科医生协助,较为简单、机械;但该术式采用刚性的扩张通道盲目逐级的扩大腰大肌,存在内脏、腰大肌和生殖股神经损伤的风险。
OLIF技术则采用斜前方入路,在腰大肌前方解剖椎间隙,尽管半直视下技术,一定程度上减少了神经相关的并发症,但血管并发症、交感神经损伤和内脏损伤的并发症并未明显减少,且在置入椎间融合器时需做反向旋转操作,以便植入最佳尺寸的融合器,但同时增加了不必要的手术分离和创伤。
针对上述缺陷,CLIF技术的改进措施为:
(1)采用腹壁正侧方单一切口,在不增加切口创伤的前提下,增加手术视野,避免了不必要的绕道和分离操作,避开了腹腔大血管和腹腔内脏等重要结构,增加了可操作性和可视化。
(2)一改既往各术式单一腰大肌的处理方式(经腰大肌的XLIF技术或经腰大肌前方的OLIF技术),提出需根据术前MRI的安全工作区域和术中所见,建立最适手术通道,减少了在建立工作通道过程中的肋下神经、髂腹下神、腰大肌和生殖股神经等的损伤,并且可以避免严重腹腔脏器和大血管和腰丛损伤等并发症发生;同时通过一系列的分离技术、旋转扩大技术,纵向牵开技术和地塞米松明胶局部应用等技术,大大降低了对腰大肌的干扰,增加了手术的安全性,减少了入路相关并发症。
(3)设计了改良的扩张通道配套器械,使本技术的更具备可操作性。由此,大大简化了手术显露过程,降低了手术切口相关并发症,并为顺利置入最为适宜尺寸的融合器提供了有效的保障,可直视下进行目标椎间隙处理。

改良牵开器。A.宽1.5cm的“L”型微型弹性拉钩和直径2.7 mm的椎体螺钉;B.“L”型微型弹性拉钩内有沟槽,可穿入椎体螺钉将其固定于椎体;C.C-Ring以及组装完成的改良牵开器

改良牵开器术中应用示意图。A.微型弹性拉钩由穿过其内沟槽的椎体螺钉固定于椎体上;B.由微型弹性拉钩、椎体螺钉及固定环组装完毕建立工作通道;C.工作通道的术野放大图,微型弹性拉钩纵向拉开腰大肌肌纤维间隙显露目标椎间盘

安全工作区域。A.根据术前椎间隙MRI横截面确定经腰大肌的安全工作区域;B.克氏针经安全工作区域置入椎间盘,再次定位椎间隙及确认安全工作区域;C.直视下避开生殖股神经(●),沿肌纤维方向劈开腰大肌(蓝色箭头所示);D.安装改良牵开器建立工作通道;E.X线透视进行显示椎间隙的处理及融合操作
二、CLIF预防融合器下沉
骺环是终板一圈坚硬和厚实的结构,是腰椎终板的主要负重结构。Codman等研究发现当融合器位于终板骺环上,发生融合器沉降所需要的压力是融合器放置于终板中部时的3倍。Hou等的研究表明,相较与终板完全接触的融合器,只放置于骺环上的融合器发生沉降所需要的压力相差无几。因此,将融合器放置于终板前部的骺环之上,可达到降低融合器沉降的风险。

终板厚度分布示意图。(等高线图,颜色越深代表终板越厚)显示腰椎骨性终板的前方和侧前方有更多的骨性终板较厚的区域
浙江大学医学院附属第二医院脊柱外科团队研究发现除骺环结构外,骺环周缘骨强度具有筒壁样效应,对防止融合器的沉降更具影响;另外,融合器的放置位置对融合器发挥的功能也十分重要,融合器中置可导致中柱撑开,由此更有利于间接减压;而融合器前置则主要可导致前柱撑开,由此更有助于矢状面矫形。
为此,该团队设计了与终板完全接触、放置于骺环上的融合器,使植骨面积最大化、融合器更加稳定,进一步提高融合率、降低融合器下沉的风险,从而提高了稳定、间接减压和矫形等手术效果。

融合器示意图
三、CLIF技术治疗退行性脊柱侧凸
腰椎退变性侧凸症患者冠状面及矢状面失平衡导致的患者腰背部疼痛的主要原因,也是手术治疗的目的之一。腰椎退变性侧凸患者多为50岁以上中老年患者,多数合并内科疾病而全身情况不佳,要求手术尽量微创安全。
鉴于CLIF技术操作的便利性、可及性和安全性:既能通过左侧入路也能安全通过右侧入路,同时还能实现术者在术中进行腹侧或背侧的操作互换,使应用者能方便地进行椎间隙、纤维环和骨赘的充分松解和撑开,联合前柱松解重建技术(Anterior column realignment,ACR),达到冠状面及矢状面畸形充分矫形的目的。

直视下双侧松解
在此基础上,浙江大学医学院附属第二医院脊柱外科团队根据退变性脊柱侧凸矢状面矫形的要求,设计前凸角为12°的大角度融合器,并提出对于需要通过手术纠正腰椎矢状位力线的患者,推荐将融合器放置于椎间隙前部,进一步提高矢状面的矫形能力。
近期该团队对退行性脊柱侧凸患者手术的研究结果表明:采用CLIF技术结合II期再次评估,能获得良好的脊柱的矢状面和冠状面矫正,并为缩短侧凸患者的固定节段奠定基础。初期的临床结果显示,部分患者能有效地减少手术固定节段,这为减少手术创伤,减少手术并发症且保留腰椎的活动度提供了良好的保障,值得进一步的研究。
综上所述,CLIF技术摒弃了既往XLIF和OLIF技术的传统、单一腰大肌处理模式,开创了建立个体化微创通道模式,使手术更微创,操作更方便,并发症更少,手术效果更为理想。结合该团队II期脊柱力线再评估,为退行性脊柱侧凸的微创手术治疗提供了一种新的选择。


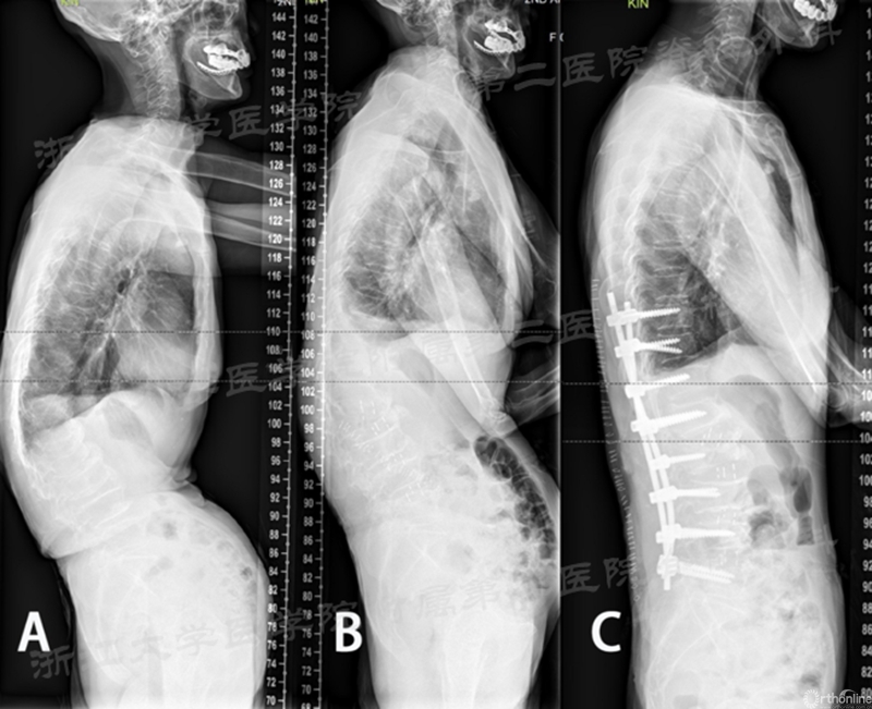
A.手术前;B.I期CLIF手术后;C.II期后路固定术后
参考文献:
1. Deng H, Yue JK, Ordaz A, Suen CG, D CS: Elective lumbar fusion in the United States: national trends in inpatient complications and cost from 2002-2014. J Neurosurg Sci, 2019.
2. Ozgur BM, Aryan HE, Pimenta L, Taylor WR: Extreme Lateral Interbody Fusion (XLIF): a novel surgical technique for anterior lumbar interbody fusion. Spine J 6: 435-443, 2006.
3. Silvestre C, Mac-Thiong JM, Hilmi R, Roussouly P: Complications and Morbidities of Mini-open Anterior Retroperitoneal Lumbar Interbody Fusion: Oblique Lumbar Interbody Fusion in 179 Patients. Asian Spine J 6: 89-97, 2012.
4. Fujibayashi S, Kawakami N, Asazuma T, Ito M, Mizutani J, Nagashima H, et al.: Complications Associated With Lateral Interbody Fusion: Nationwide Survey of 2998 Cases During the First 2 Years of Its Use in Japan. Spine (Phila Pa 1976) 42: 1478-1484, 2017.
5. Huang Chunneng, Xu Zhengkuan, Li Fangcai, Chen Qixin. Does the Access Angle Change the Risk of Approach- Related Complications in Minimally Invasive Lateral Lumbar Interbody Fusion? An MRI Study. J Korean Neurosurg Soc 61 (6) : 707-715, 2018
6. Tao Yiqing, Huang Chunneng, Li Fangcai, Chen Qixin.An MRI study of the oblique corridor and the trajectory to the L1–L5 intervertebral discs in the lateral position. World Neurosurgery: 31 July 2019
7. 李方财,陈其昕,陈维善.改良侧方入路腰椎椎体间融合术及其临床应用. 中华骨科杂志2018年2月第38卷第4期:212
8. Xu Zhengkuan, Chen Qixin, Chen Gang, Li Fangcai. The technical note and approach related complications of modified lateral lumbar interbody fusion. Journal of Clinical Neuroscience. Accepted 28 April 2019
9. 李浩,张宁,陈刚,李方财,陈其昕.改良微创侧方椎间融合术在胸腰段骨折合并椎间盘损伤前路支撑与重建中的应用.中华创伤杂志 2019 年 9 月第 35 卷第 9 期;796
10. Cadman J, Sutterlin C, 3rd, Dabirrahmani D, Appleyard R: The importance of loading the periphery of the vertebral endplate. J Spine Surg 2: 178-184, 2016.
11. 李君,李方财,陈其昕,陈维善. 融合器位置对侧方入路腰椎椎间融合术间接减压疗效的影像学评估. 中华骨科杂志2019年2月第39卷第4期:216
12. 徐正宽,陈刚,李方财,陈其昕. 微创技术治疗重度退变性腰椎侧凸的分期手术策略. 中华医学杂志 2018年7月 3 日第 98 卷第 25 期;1996
13. Buell TJ, Chen CJ, Nguyen JH, Christiansen PA, Murthy SG, Buchholz AL, et al.: Surgical correction of severe adult lumbar scoliosis (major curves >/= 75 degrees ): retrospective analysis with minimum 2-year follow-up. J Neurosurg Spine: 1-14, 2019.
14. Zhengkuan Xu, Fangcai Li, Gang Chen, Qixin Chen. Reassessment System and Staged Surgical Strategy with Minimally Invasive Techniques for Treatment of Severe Adult Spinal Deformities. World Neurosurgery: Accepted 1 March 2019
作者简介:
陈其昕,博士、博士生导师。浙江大学医学院附属第二医院脊柱外科,教授、主任医师。
担任中国康复医学会脊柱脊髓专业委员会常务委员,中国中西医结合学会脊柱医学专业委员会常务委员,中华预防学会骨与骨关节疾病预防与控制专业委员会委员,中华医学会骨科学分会微创外科学组委员,中国医师协会骨科医师分会脊柱外科专业工作委员会委员,浙江省预防医学会骨与关节疾病预防与控制专业委员会主任委员,浙江省医师协会骨科医师分会副主任委员,《中国脊柱脊髓杂志》编委,《中国修复重建外科杂志》编委,《脊柱外科杂志》编委。



京公网安备11010502051256号