如何让“恐怖三联征”不再恐怖?
2021-03-18 我要说
肘关节脱位合并桡骨小头骨折及尺骨冠状突骨折是一种复合性损伤。这种被称为“恐怖三联征”的肘关节损伤的研究结果少有报道,然而我们很有必要了解这种损伤,因为“恐怖三联征”容易导致创伤性骨关节炎、复发关节不稳定,并且长期制动可致关节僵硬,从而严重影响肘关节的功能。
那么临床上遇到此类患者应该如何应对,让“恐怖三联征”不再恐怖?
1. 了解患者的损伤机制。
该类损伤常见于高坠伤或高速运动下损伤,旋后位的轴向挤压及肘关节外翻应力致尺骨鹰嘴向后或后外侧移位,导致肘关节脱位(图1)。

图1 损伤机制
2. 与一般简单的肘关节脱位不同的是,“恐怖三联征”存在肘关节内在不稳定因素,因此需要手术治疗。
因为采用保守治疗会导致严重的关节僵硬,甚至丧失关节活动度而使肘关节失去功能。保守治疗虽然能获得肘关节的初步闭合复位,但是多存在复位丢失,且因长期使肘关节处于屈曲位固定,临床治疗结果十分糟糕。
有长期随访研究报道,肘关节脱位患者合并桡骨头及冠状突移位骨折,如骨折不能妥善处理,会导致肘关节再脱位,因此需要解剖复位桡骨头和冠状突骨折。
手术治疗适应证:
肱尺关节复位不良;
肱桡关节复位不良;
关节内骨片嵌顿,影响前臂旋转功能;
关节内骨片嵌顿,影响肘关节屈伸。
手术治疗禁忌证:
不适合手术的医疗条件;
肱尺关节和肱桡关节同轴复位;
桡骨头和冠状突损伤相对较小的无移位骨折。
3. 术前应进行详细的临床检查评估,包括上肢、肩部及腕部的神经与血管状况。
初始治疗措施包括局麻下闭合复位并用夹板固定。手术治疗依据复位后拍摄的肘关节前后位及侧位X线片,常规进行CT检查,通过CT扫描可以直观地了解冠状突及桡骨头的骨折大小及范围。同时行三维CT检查对评估损伤也十分有帮助(图2)。

图2 侧位片提示肘关节脱位,桡骨头骨折,冠状突Ⅲ型骨折
4. 术中注意事项要记牢。
(1) 手术治疗桡骨头骨折采用切开复位内固定,如不能恢复解剖形态,则考虑桡骨头置换;冠状突骨折需要尽可能固定,且前方关节囊和外侧副韧带需要进行修复。急性损伤时,如果肘关节能够解剖复位且等长运动不受影响,内侧副韧带可以不进行直接修复也能得到较好的功能恢复。术中需确保肘关节恢复稳定,肘关节处于中立位时活动范围在30°~130°内不发生半脱位,软组织修复和术后使用外固定支架可以进一步加强关节稳定性。
(2) 患者采用全麻、侧卧位,入路采用外侧入路,该入路便于切开复位、暴露肘关节、桡骨头重建和置换、固定冠状突以及后外侧韧带复合体的修复。外侧皮肤切口以肱骨外上髁为中心。前臂保持旋前位以增大骨间后神经与手术区域的距离。与单纯的桡骨头骨折采用的经肘肌和尺侧腕伸肌间的Kocher's间隔入路不同,对“恐怖三联征”患者可以利用损伤本身所造成的间隙进行暴露,而不需要特意的切开关节囊。损伤本身会导致关节囊、桡侧副韧带及大部分外侧肌肉软组织的破坏(图3)。

图3 三维CT显示肘关节脱位患者复位后为“恐怖三联征”
(3) 从前方可以直视下检查肱桡关节包括桡骨头及冠状突的损伤情况,冠状突的复位对手术操作技术要求较高。
如果冠状突骨折块足够大,从外侧入路可以直接观察到,尤其是通过桡骨头的缺损处或者在桡骨头切除后。因此,在复位桡骨头之前先处理冠状突骨折,冠状突骨折块可以通过牙科刮匙进行复位和维持,然后经皮从尺骨背侧面置入空心螺钉进行固定。如果外侧入路进行固定存在困难,可以考虑直接由内侧入路进行暴露。小的游离骨折块可以去除(图4),套锁缝合前关节囊至尺骨可以加大稳定性(图5)。

图4 该损伤出现关节囊、桡侧副韧带及外侧肌肉软组织损伤(⋆桡骨头切除后)

图5 外侧入路显示冠状突骨折移位(箭头:移位的冠状突骨折部分)
(4) 在处理完冠状突骨折块后,桡骨头骨折也需要进行固定。无法进行固定的游离小骨折块可以去除。
对于这种复合损伤,桡骨头切除术是禁忌的。骨折块可以通过克氏针临时固定,或者使用复位钳钳夹复位,再用微型螺钉进行固定(图6)。如合并桡骨颈骨折,可以使用克氏针临时固定后再用微型T型钢板进行固定。

图6 间接复位冠状突骨折块
角度固定钢板适用于桡骨颈粉碎性骨折。内植物应放置在桡骨头所谓的“安全区”内,该区域是前臂位于中立位时桡骨头不影响尺桡关节的部分(图7)。如果桡骨头复位困难,我们建议使用金属桡骨头假体进行置换。采用模块化的置换假体,可以独立调整假体的桡骨头直径、高度及桡骨颈的尺寸,因此可以尽可能地重建大小合适的桡骨头。

图7 采用外科缝线通过外上髁骨隧道进行缝合,修复撕裂的桡侧副韧带
(5) “恐怖三联征”常合并有肱骨远端后外侧韧带复合体的撕裂。
该韧带复合体在维持肘关节内翻时的稳定具有重要作用,尤其是当尺侧副韧带也存在损伤需要修复时。采用带线锚钉将组织缝合修复并固定至肱骨外上髁(图8)。

图8 (与图2为同一患者)使用铰链式外固定支具后的术后正位X线片
如果伸肌总腱止点损伤应进行修复,Kocher's间隙的筋膜也应修补(图9和图10)。如果在修复桡骨头及外侧副韧带后,肘关节屈曲40°以上仍发生半脱位,则还需经内侧入路,以同样方法修复内侧韧带复合体(图11)。

图9 (与图2为同一患者)使用铰链式外固定支架后的术后侧位X线片

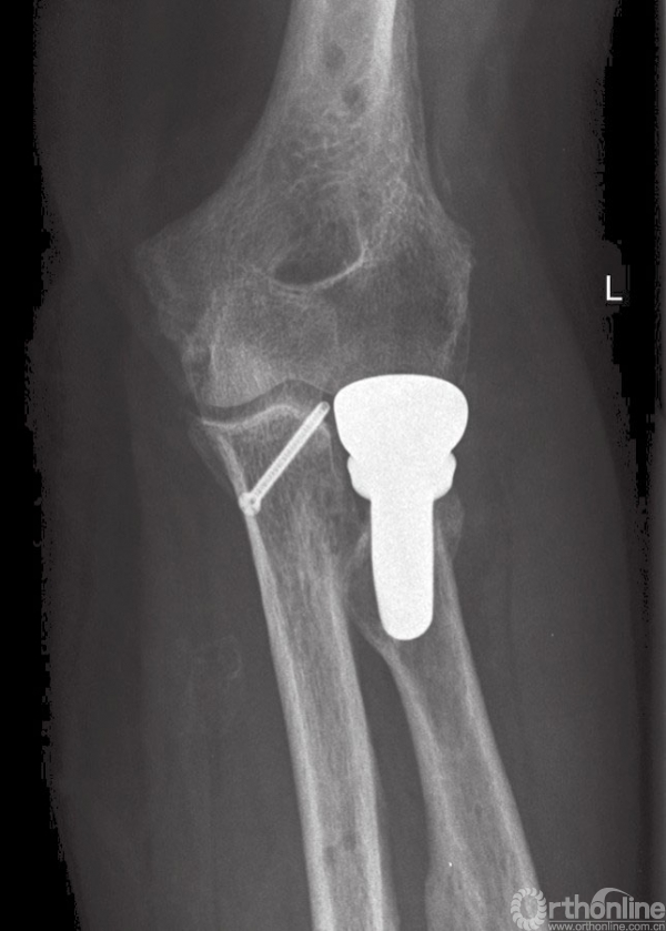
图10 长期随访患者,正位片显示桡骨头假体位置满意,伴有少量异位骨化

图11 长期随访患者,侧位片显示关节复位满意
5. 如果发现肘关节稳定性不可靠或者存在再次脱位风险,建议使用铰链式外固定支架。
在内固定完成和韧带的损伤修复后,在手术台上验证患者肘关节的稳定性。如果发现肘关节稳定性不可靠或者存在再次脱位风险,建议使用铰链式外固定支架,这样可以使肘关节获得同轴心的稳定性,并可以使患者在术后早期活动。
对于没有合并并发症的患者,我们也倾向于术后使用铰链式外固定支架,以避免不可控的关节活动。使用外固定支架可以中和修复后骨折端及韧带复合体所受的应力,防止术后早期活动时发生再脱位及内固定失败。外固定支架一般使用6周(图12)。

图12 术后使用铰链式外固定支架,有利于术后软组织损伤恢复及早期活动
6. 术后治疗措施不能少。
对于内外侧韧带复合体都损伤的患者,我们在进行可靠的内固定及韧带修复后,用夹板将患肢固定于屈肘90°的前臂中立位6周。
术后3天可以在去除夹板的情况下进行被动关节锻炼。同时,可以通过术后复查X线片了解肘关节是否完全复位。
在最初6周内避免过伸肘关节及前臂旋后。在内外侧副韧带损伤或经修复的情况下,应在屈肘下进行前臂旋转活动,以尽量减少对其的应力。
术后8周,在确保骨折及韧带愈合后再进行强化功能锻炼。
来源:《关节内骨折治疗精要》
译者:禹宝庆 张殿英 苏佳灿



京公网安备11010502051256号