收藏|前交叉韧带损伤的诊断技巧
2021-12-30 文章来源:《现代骨科运动医学》 作者:本章作者:徐一宏,徐卫东 我要说
前交叉韧带(ACL)是膝关节的静力性稳定结构,对膝关节的稳定起着至关重要的作用。ACL断裂后可以产生明显的膝关节不稳,严重影响膝关节的运动功能,随之继发关节软骨、半月板等结构损伤,导致关节退行性变和骨关节炎。ACL断裂是骨科运动医学的常见疾病。
临床表现
ACL急性损伤时,可能有韧带撕裂声、膝关节剧痛,然后很快出现明显肿胀,导致膝关节伸直、屈曲受限。慢性损伤多表现为运动时膝关节不稳定,在运动中出现膝关节错动感或打软腿,尤其是在急转、急停或变速折返运动时,一般正常直行多无不稳定。慢性ACL损伤常伴发半月板、软骨和骨关节炎的发生和发展,患者有膝关节疼痛、关节交锁等症状。
体格检查
体格检查包括常规膝关节检查(如有无肿胀、畸形、压痛点,以及关节活动度和大腿肌肉维度等)和以下特殊检查。
(1) 前抽屉试验(ADT)
患者平卧,髋关节屈曲45°,膝关节屈曲90°,放松下肢肌肉。检查者坐在患者足部(方便固定其下肢),双手握住其胫骨上段,分别在中立位、内旋位、外旋位向前牵拉(图1)。根据胫骨相对于股骨前移的程度与健侧做比较并进行分度:前移0~5mm为Ⅰ度,5~10mm为Ⅱ度,>10mm为Ⅲ度。

图1 前抽屉试验
(2) Lachman试验
作为评估ACL损伤最常用的检查方法,灵敏度较高。患者平卧,膝关节屈曲20°。检查者站在其患侧,嘱其放松肌肉,一只手固定其大腿下段,另一只手握住其胫骨上段,前后错动膝关节,根据胫骨前移的程度(参考ADT分度)以及是否有软/硬性止点进行判断(图2)。Lachman试验阳性并伴有软性止点,考虑ACL完全断裂;Lachman试验阳性并伴有硬性止点,考虑ACL部分损伤;Lachman试验阴性并伴有硬性止点,考虑ACL正常。
与ADT比较,Lachman试验能够检查急性期由于关节内积血、关节疼痛无法屈曲到90°的患者。而且由于没有半月板的阻挡,检查准确率明显提高,同时能够更准确地体会到韧带的止点感觉。

图2 Lachman试验
(3) 轴移试验
行轴移试验(pivot shift test, PST)时患者平卧,放松肌肉,检查者立于其患侧,一只手握住其患侧足部,另一只手固定于患侧小腿上段,施加轴向、外翻和内旋力量,同时缓慢屈曲膝关节,如出现膝关节轴向错动感为阳性(图3)。检查者的主观感觉和患者放松程度对PST的结果影响较大。

图3 轴移试验
(4) 杠杆试验
行杠杆试验(lever test)时患者平卧,检查者立于其患侧,一只手握拳置于其患侧小腿近端1/3处约腓骨小头下方平面使膝关节屈曲20°,另一只手置于大腿远端髌骨上极处施加一垂直向下的压力(图4)。正常ACL因连续性良好可在被施加向下作用力时,产生杠杆作用,带动足跟离开床面;ACL损伤时因韧带连续性中断,在股骨远端施加向下作用力时,因不能产生杠杆作用,足跟无法离开床面,为杠杆试验阳性。

图4 杠杆试验
最近研究发现,在上述4种试验中,杠杆试验的特异性最高,特别是对于肢体粗壮患者和膝关节半月板桶柄样撕裂交锁患者。改良杠杆试验与传统杠杆试验的操作方法相比,改良试验更加精确。陈世益等对传统杠杆试验进行了改良,使精确性明显提高,假阴性率下降40%。
(5)改良杠杆实验
改良杠杆试验在小腿上段相当于胫骨结节水平后方处作为杠杆支点,在股骨下端相当于髌骨上缘处施加向下的压力。如果无法使足跟离开床面,为试验阳性,表明ACL断裂;如果能够使足跟离开床面,为试验阴性,表明ACL完整(图5A、B)。传统杠杆试验在小腿中上1/3处作为杠杆支点,无论向下压力的施力点在髌骨上缘还是在股中下1/3,均能相对容易地抬起足跟,造成假阴性(图5C、D)。

图5 改良杠杆试验
蓝色三角形为杠杆支点;红色箭头为向下压力的施力点
胫骨前移程度测量
KT-1000或2000关节动度测量仪是通过定量测量胫骨前移程度来判断ACL损伤与否的有效工具(图6)。测量时患者取仰卧位,先测量健侧,后测量患侧。
方法:双腿置于仪器股骨支撑平台上,调节平台高度使膝关节被动屈曲30°,双足跟置于足底支撑平台上,外踝紧贴双侧挡板,保证小腿外旋约15°。确认关节测量仪上的关节线刻度位置对准膝关节的关节线,固定关节测量仪。调零刻度转盘,嘱患者放松肌肉。测量时检查者一只手握髌骨挡板稳定髌骨,另一只手通过拉手对小腿施加前向拉力,随拉力增加可依次听到3声不同音调的声响,分别反映前向拉力大小为15lb(6.8kg)、20lb(9kg)和30lb(13.6kg)。测量结束后比较双侧结果。正常个体的ACL双侧前向松弛度测量差值<2mm,如>3mm即有病理意义,>5mm提示为ACL完全断裂。若患侧数值较健侧>3mm即为阳性结果。

图6 KT-1000关节动度测量仪
影像学检查
(1) X线和CT
应常规进行膝关节X线检查,以评估撕脱性骨折、骨骺情况及关节退行性变等骨性结构情况。必要时进行CT检查以更详细地评估骨性结构。三维CT重建观察髁间窝形态与骨嵴,在翻修手术前对判断骨道位置有重要参考价值。
(2) MRI
MRI检查对软组织分辨率和敏感性高的特点使其成为目前ACL损伤最为重要的影像学检查方法,还可以同时评估伴随的损伤,如半月板损伤、软骨损伤及其他韧带损伤等。
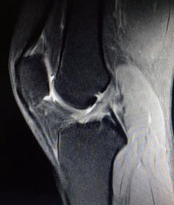
由于ACL的解剖特点,常规MRI扫描方向无法满足精确诊断的需要,因此沿ACL的方向扫描对于诊断有重要的作用。MRI影像上正常的ACL是起自股骨外侧髁内侧面,斜向前内侧走行,止于胫骨髁间隆起前方的一条边缘清晰、光滑、具有张力感的低信号带(图7)。连续性中断是ACL断裂最直观的表现(图8)。
Lee等提出ACL断裂的MRI诊断标准: ①ACL前缘呈不规则波浪状;②T2WI成像中ACL信号内有高信号;③矢状面上ACL信号不连续;④当伴有上述征象之一时,前部呈弓状的PCL可支持ACL撕裂。

图7 正常ACL的MRI影像

图8 ACL断裂MRI影像
MRI检查不可作为ACL断裂的唯一诊断标准,临床上有部分ACL断裂后残端移位不明显,而是以瘢痕黏附于PCL或股骨髁的内侧面(图9)。该类情况需要临床医生对正常ACL的影像有清晰的认识,可以通过冠状位和矢状位上ACL的方向和角度来辨别,更重要的是与临床体格检查及病史三者结合以诊断。

图9 ACL断裂后断端移位不明显的MRI影像



京公网安备11010502051256号