膝关节脱位的分级和手术选择
2022-11-18 文章来源:膝关节多发韧带损伤(第2版) 作者:李箭,陈旭旭,潘正烽,毛云鹤 我要说
引言
膝关节脱位(knee dislocation,KD)的定义在过去的30年里发生了巨大的变化。曾经认为膝关节脱位的发生率很低,对于骨科医师来说,在整个职业生涯中遇很难遇到一例以上的病例,但现在膝关节脱位的发生率比过去显著升高。然而,尽管其发生率并不高,在所有骨科损伤中占0.02%~0.2%。但由于各种原因,目前膝关节脱位的发生率不断升高。可能的原因包括创伤发生率的增加,采取更好的保护措施而降低了创伤的死亡率,以及极限活动的增多。另一个导致脱位发生率升高的因素是对自行复位的膝关节脱位的认识。Wascher等报道在>50%的膝关节脱位患者中股骨胫骨关节位于复位位置。对于自行复位的膝关节脱位的认识使医师们更加意识到必须将膝关节多发韧带损伤当作膝关节脱位进行治疗。因此,膝关节脱位的系统分型十分必要,可以帮助骨科医师对这些复杂的膝关节损伤进行诊断和治疗。
分型系统的应用有多重目的,并且十分实用。分型必须简单、可重复,有助于提供者和所有的阅读者进行交流。在治疗过程中,分型有助于手术方式的选择。此外,一个好的分型也可以反映出损伤的严重性。膝关节脱位既可以通过位置分型,或通过受伤时的能量分型,也可以通过损伤的解剖结构分型。我们将在本章回顾每一种分型方式。
初步评估
初步评估应涵盖全而的体格检查。因为膝关节脱位经常发生于多发性创伤的患者,体格检查应当包含对患者头部、胸部、腹部和四肢的一般评估。初步检查应包括检查膝关节贯穿伤口、存在的畸形以及膝关节活动度的检查。检查制带时必须包括屈膝20°时Lachman检查、屈膝90°时前后抽屉试验、屈膝0°和30°时内外翻应力试验,以及如果患者能够耐受疼痛时需行Dial试验。对膝关节脱位的检查通过采取标准的Lachman试验(将检查者的大腿置于被检者的膝关节下)通常可以减少疼痛以及提高准确性。触诊通常用于检查伸膝装置或䐃绳肌腱断裂。如患者可进行直腿抬高动作,对于伸膝装置的情况检查十分有用。另外,应仔细检查血管的解剖情况,这对于膝关节脱位的治疗方式起到决定性的作用。如果血管损害被延迟诊断,可导致骨筋膜室综合征甚至截肢。最简易的血管检查包括触诊胫后和足背动脉搏动以及毛细血管充盈时间的触诊。基于初步评估,进一步的检查应当根据循证指南进行,包括ABI指数、血管造影、血管CT造影和腘动脉紧急探查。血管治疗的必要性取决于检查的结果(图1),而神经功能检查评估对于无意识的患者或有多发创伤存在的患者十分困难,对于胫神经和腓总神经的评估十分重要,需要尽量进行。术前神经损伤的诊断可以帮助制订治疗计划和预测结果。

图1 膝关节脱位导致腘动脉损伤的血管造影图像
在全面的体格检查后,应当进行正、侧位X线检查,以诊断骨折和评估胫骨股骨移位。术后X线检查可用于评估复位后关节力线是否恢复。MRI在鉴定损伤的结构、程度和部位上十分有用。尽管MRI在协助确定是否手术和手术计划时十分有用,但仍然不能取代全而的体格检查(图2)。

图2 a为同一个患者的膝关节脱位时的X线片。b冠状位和c矢状位MRI显示ACL、PCL和半月板桶柄状撕裂。冠状位还显示MCL损伤
评估膝关节损伤最终和最关键的一步是在麻醉下检查(examination under anesthesia,EUA)。一个全面的EUA可以给临床医师提供损伤结构的功能情况。在许多病例中,通过MR诊断的损伤结构可能仍有功能,但并不需要修复或重建。此外,对于严重的关节囊和交叉韧带损伤,即使延迟手术也有愈合的可能。评估整体结构损伤的唯一方法是手术时进行EUA。
脱位位置的分型
脱位位置的分型系统最初是由Kennedy提出的,该分型取决于脱位时胫骨相对于股骨的关系,该分型需要膝关节脱位时临床或影像学资料。通过这一分型,可分为5种类型的脱位:向前、向后、向内侧、向外侧和旋转脱位。旋转脱位被进一步分为几种亚型:前内、前外、后内及后外侧脱位。后外侧旋转脱位是最常见的旋转脱位。
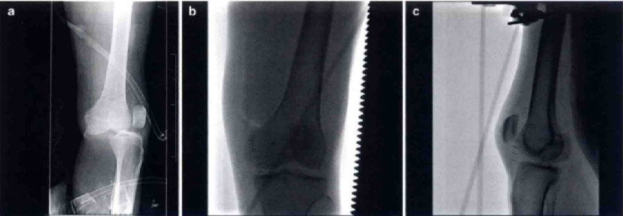
尽管该分型系统已被使用许多年,但是仍有一定的局限性。胫骨和股骨位置分型对于同时并存的损伤诊断十分有用,如血管或神经损伤。前向和后向脱位很有可能合并围动脉损伤。然而,由于所有的分型都有可能合并血管损伤,不管是哪种脱位,医帅都应高度警惕是否存在血管损伤。位置分型也可以协助确定复位方式,但是大多数脱位通过轴向牵引很容易复位。当医师在确定后外侧脱位时该分型十分有用(图3)。警惕股骨内侧髁钮扣孔样通过内侧关节囊组织,卡压陷入的内侧副韧带或内侧结构时,通常是不能够复位的。后外侧膝关节脱位特征性的标志是沿着内侧膝关节间隙的内侧皮肤的“深沟征”(medial skin furrowing),通常会显示出股骨髁远端的关节面的轮廓。对这种情况有必要迅速复位,否则股骨内侧髁的压迫会使皮肤和(或)内侧副制带坏死。发生后外侧脱位时骨科医师应高度警惕切开复位的可能性。同时。这种脱位也经常合并腓总神经损伤。

图3 a为后外侧脱位的印象学检查。这种膝关节脱位是可复性的,需要做一个将MCL插入关节的开放性复位。b和c分别是复位后的前后位片和侧位片
通过胫骨位置分型的最大不足是其不能对大约50%的已经复位的膝关节脱位进行分型。由于不能通过位置对这种损伤进行分型,临床医师常不能把多发韧带损伤视为膝关节脱位而对其仔细评估,尤其是查看血管情况。如果未能及时发现膝关节脱位中伴随的上方神经损伤,将导致严重的后果。
我们还发现了位置分型系统存在其他缺陷,即该系统无助于外科治疗。在手术切口位置制订、需要韧带移植物的数量或是否需要固定骨等问题上不能提供有用的信息。此外,该分型无法帮助医师进行方便、全面的交流。虽然该系统曾经比较重要,但除了后外侧膝关节脱位,我们发现这个分型不能对膝关节脱位患者提供最新治疗的建设。
通过损伤能量分型
膝关节脱位也可通过损伤时能量或暴力的大小进行分型,即基于受伤时是高能量还是低能量机制对损伤进行分型(表5.1)。高能量膝关节脱位患者包括摩托车机动车冲撞,工伤意外或高处坠伤。低能量损伤指体育运动中受伤、较轻的摔伤或肥胖患者。
表1损伤能量分型

大多数膝关节脱位是高能量损伤或较大的创伤所致。高能量患者通常合并多系统的损伤,包括头部、胸部、腹部及其他肢体的损伤。这些损伤可造成生命危险,并且在处理膝关节脱位韧带损伤前需要优先处理。膝关节脱位在多发损伤忠者需要急诊医师、创伤医师和骨科医师的协作,以保证患者所有的损伤都得到了恰当的治疗。处理膝关节脱位前应当先治疗威助生命的胸内或腹腔内损伤,并且当膝关节脱位合并血管损伤时也不应当被忽视,延迟6~8小时修复血管极有可能导致肢体坏死。
损伤能量水平在一定程度上决定了膝关节脱位的治疗过程。高能量膝关节脱位更常合并其他损伤,可能会导致治疗的延迟。我们发现对于高能量膝关节脱位,最好通过外固定支架保持患者稳定,直到其能够承受手术修复(图4)。临时固定6~8周有时可以作为那些合并严重损伤忠者的治疗选择。相反,接受低能量的膝关节脱位患者,一旦活动度有所恢复,通常适合早期重建或修复,或重建侧方结构。尽管胭动脉损伤完全可发生于任何膝关节脱位患者,但认为在低能量损伤患者中很少发生。

图4 对前后(a)侧方(b)的膝关节不稳定脱位采取跨关节外固定支架固定
通过受伤时的能量对膝关节进行分型有很多不足。首先,损伤能量通常较为任意。许多体有运动可被列入高能量组或低能量组,例如,对于滑雪导致的膝关节脱位,可能是由于在低速滑行时在平地上趺倒或竞赛者在高速滑行时跌倒,并冲撞了路旁障碍物。在最初和最终的治疗策略中这些情况可能需要个体化处理。其次,损伤能量分型系统不能准确地预测合并血管和神经损伤的风险。再次,这一分型没有确定损伤结构或有助于制订手术计划。最后,由于该分型没有确定损伤解剖结构,因此,也不能帮助医师快速、准确地交流确切的损伤结构。
解剖分型
解剖分型是在膝关节韧带解剖结构以及损伤的结构的基础上进行分型。为了描述损伤模式,膝关节韧带被分为四个独立但在功能上有重叠的解剖部分,它包括ACL、PCL、内侧结构和后外侧结构。内侧结构包括内侧副韧带的深层和浅层、后内侧关节囊以及后斜韧带(POL)。后外侧结构包括外侧副韧带、腘腓韧带、腘肌腱及后外侧关节囊。
由于解剖分型是在损伤结构的基础上进行分型的,所以比较简单和可重复。为了对膝关节脱位进行解剖系统分型。如前所述。必须提前进行全面的膝关节损伤评估。评估后,膝关节脱位可以被分成五大类损伤(表2)。用罗马数字表示损伤的级别数字越大,则表示损伤程度接严重。KDⅠ型为仅包括ACL或PCL中一个损伤的影像学或临床的脱位。关于这种损伤已有报道,但极为罕见。KDⅡ 型为两者均损伤并且侧副韧带功能完整,相对罕见。KD Ⅲ型是两个交叉韧带损伤并伴某侧损伤。KD Ⅲ型被分为M亚型(合并内侧结构损伤)和L亚型(合并外侧结构损伤)。KD Ⅳ型指在交叉韧带及内外侧结构的损伤。KD V型是另加的。是指膝关节脱位合并关节周围骨折。也可以被分成其他系统从而继续分为亚型,如Moore型和Stannard型。Stannard进一步根据制带损伤情况对KD V型损伤进行了分型。在Stannard分型中,KD V1为单一交叉韧带损伤,KD V2合并两条交叉韧带损伤,KD V3包含两条交叉韧带损伤合并侧方结构损伤,KD V4是ACL和PCL及两侧副韧带损伤。虽不能将较小的撕脱骨折,如胫骨棘骨折列入KD V型中,但是可以以韧带损伤进行分型。最后,KD分型合并神经和血管损伤被分为:C亚型,即合并血管损伤;N亚型,即合并神经损伤。同样,将开放性胫骨骨折分型纳入亚型。例如,一个例子是采用这种分型系统,将有一种ACL,PCL和MCL损伤但血管检查正常的膝关节脱位,并存在腓神经的运动功能缺失。通过这种解剖结构分型,将该损伤描述为:“KD Ⅲ -M-N”。关键在于,解剖分型是建立在检查或麻醉下查体发现功能损伤的基础上。MRI通常可显示功能完整的部分韧带损伤,例如KD Ⅲ-M合并损伤的ACL、PCL和MCL,但是在PLC处信号增强。这种情况仍然被分为KD Ⅲ-M,因为PLC功能完整,不需要治疗。
表2 基于损伤结构进行的解剖分型系统

与其他几种分型系统对比,解剖分型有几个显著的优势。首先,对所有的KD分型都可以使用这个系统,包括已经复位的多发韧带损伤。其次,该系统可以评估损伤的严重性并可估计预后。通常来说,罗马数字越大,膝关节损伤就越严重,预后越差。在KDV型中,由于股骨胫骨关节损失了所有的韧带结构,很可能合并血管损伤。再次,解剖分型已明确了需要重建或修复的损伤结构,有助于指导治疗。最后,解剖分型可以在相关医师之间进行简单的交流。比较治疗结果。
结论
膝关节脱位的发生率越来越高,并且比之前更加常见。由于膝关节脱位复杂并且通常难以治疗,因此,当务之急是早期认识并合理分型。通过胫骨脱位位置和损伤能量分型不能完全体现每一种脱位的特点,更不能协助制订治疗方案。解剖结构分型既简单又易于理解,有助于治疗,反映了损伤的严重程度。同时方便医师交流对膝关节韧带损伤的治疗。我们推荐对所有的膝关节脱位使用该分型系统。



京公网安备11010502051256号