涂意辉:全面解析外侧单髁术基础知识与关键技术
2024-05-13 文章来源:同济大学附属杨浦医院关节外科 作者:涂意辉 我要说
1975年,内侧单髁(MUKA)和外侧单髁(LUKA)几乎同时开展,至今已经将近50年。外侧间室OA(LCOA)在膝关节OA(KOA)中发生率为5% -10%,但LUKA仅占膝关节置换的1%。由于外侧间室独特的解剖结构,不同生物力学和运动学特性,所以 LUKA手术具有一定挑战性。LUKA技术要求较高,医生对LUKA不熟悉,早期报道的手术结果不佳,导致LUKA开展非常有限。随着对外侧间室解剖和运动学的理解日益深刻,以及手术技术的进步,假体的改进,现代LUKA短期和中期随访结果甚至优于MUKA和TKA, LUKA正被越来越多的骨科医生关注。本文围绕外侧单髁技术的基础知识和关键技术展开分享。

2006-2021年笔者团队共开展UKA 3976例(内侧3523,外侧453),外侧UKA占比11.39%
一、外侧单髁置换基础知识
1. 外侧间室解剖学特点

外侧胫骨平台相对于股骨外侧髁向外侧突出3-4mm, 股骨与胫骨平台解剖中线不一致。如果将股骨假体放置在股骨髁中央可能导致两个假体中心不一致,使股骨假体相对胫骨假体偏内。
2. 屈伸间隙不平衡

屈膝时外侧间室的松弛,外侧髁可抬高多达7mm,而内侧仅为 2mm。通过增加垫片厚度,外侧间隙很容易被撑开。
3. 膝关节运动学特点

内侧和外侧腔室解剖结构的差异提供了膝关节的复杂运动。
4. 膝关节锁定机制

膝关节由屈曲20°到最后完全伸直时,胫骨发生外旋,股骨内侧髁相对发生内旋,交叉韧带拉紧,膝关节锁定,此时胫骨相对与股骨处于最稳定状态。在LUKA中,股骨假体必须适应Screw-home机制,将股骨假体置于轻微外旋(相对外侧股骨髁本身的形态)以适应由屈曲到伸直运动时的股骨相对内旋。股骨假体在屈曲和伸直位时均以胫骨为中心。
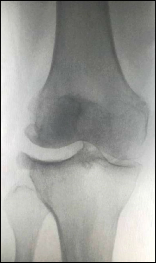
5. 外侧间室OA病理学特点

股骨髁磨损;胫骨平台磨损
LCOA的磨损在胫骨平台后侧,股骨髁磨损从屈曲45°开始,随着病情发展逐步向前、向后,主要以后侧为主。LCOA早期时在伸直位通常没有畸形,当临床发现有外翻畸形时,此时病情已经发展较重。
6. LUKA手术指证
UKA的成功取决于正确的病人选择。

MUKA已有明确的手术适应证,目前还没有研究专门评估LUKA的手术指征,只能借鉴MUKA的指征。
7. LUKA禁忌证

当髌股关节外侧表现为骨丢失伴骨硬化和纵向沟槽样改变时,被认为是禁忌证。
二、外侧单髁置换关键技术
1. 关键技术:切口与暴露

切口
切口在髌骨上极至关节线下2-3cm,沿髌骨前中外1/3皮肤切开。

暴露
外侧支持带切开沿髌骨外缘1-2mm及髌腱外侧切开;髓腔内插入3.5mm导针,以消除髌骨遮挡作用。
三、胫骨侧截骨关键技术
关键技术1:截骨宽度

以不损伤前交叉韧带为原则。不要以交叉韧带的止点作为参考,此时截骨会偏宽,要根据假体宽度决定截骨宽度。笔者经验,以外侧股骨髁的内侧缘为标准,此时截骨宽度是合适的。
关键技术2:截骨厚度2-3mm

外侧OA多发生在股骨侧,常伴有外侧股骨髁发育不良。通常需要做内翻应力位判断外侧间隙张开程度及胫骨磨损程度。

胫骨截骨应尽可能保守,通常2-3mm即可,以利用胫骨近端皮质的强度,并可增大承载面积。
关键技术3:水平截骨-无内外翻

胫骨截骨导杆与胫骨前缘平行(冠状面),此时无内外翻。
关键技术4:旋转截骨

随着膝关节伸直,胫骨倾向于外旋移动,因此垂直锯切须内旋,以防止股骨假体撞击胫骨棘突。
上示图片显示胫骨矢状切面锯切内旋转10-15°。

内旋截骨时,插入髓内导针,将膝关节屈曲45°,此时髌韧带松弛,直视下进行内旋10-15°锯切。
关键技术5:后倾3-5°

外侧胫骨平台自然后倾平均为4.8-5.8°,因此设定胫骨截骨后倾角度为3-5°。
四、股骨侧截骨关键技术
关键技术1:矢状位:无过屈、过伸

避免:股骨假体过屈,前缘凸起,发生髌骨撞击

避免:股骨假体过伸,前缘嵌入,发生髌骨弹跳
关键技术2:冠状位-轻度外旋

股骨假体必须适应锁定机制
锁定机制:膝关节屈曲90°到完全伸直,外侧胫骨在股骨髁的路径是直线。股骨假体(红色椭圆形)相对于股骨外侧髁(黄色椭圆形)的方向外旋放置(即相对于解剖中线外旋)。

将股骨假体略微外旋放置(中立位,与胫骨假体垂直),以适应从屈曲到伸直时胫骨假体的直线路径。
关键技术3:股骨假体与胫骨假体中心一致


沿股骨外侧髁外侧缘安放股骨钻孔器,前缘与股骨髁标记线平齐,股骨与胫骨假体中心一致。
五、其他关键技术
关键技术1:屈曲间隙>伸直间隙2mm

屈曲间隙11mm,有2mm空间(9mm垫片+2mm插片)

伸直间隙9mm(9mm垫片),无空间,2mm插片不能插入
假体试模复位后屈曲间隙>伸直间隙2mm,伸直位确定胫骨假体厚度。
关键技术2:恢复关节线
重建关节线意义重大,因为关节线的抬高可能导致不稳定。
可能引起抬高关节线的操作:通过过度研磨股骨远端,试图匹配屈伸间隙;通过在屈曲位选择垫块厚度导致外侧间室过度填塞。

外侧间室在自然屈曲状态下松弛,将允许更厚的胫骨垫片插入,所以LUKA应在伸直位选择垫片厚度,从而达到“平衡”。
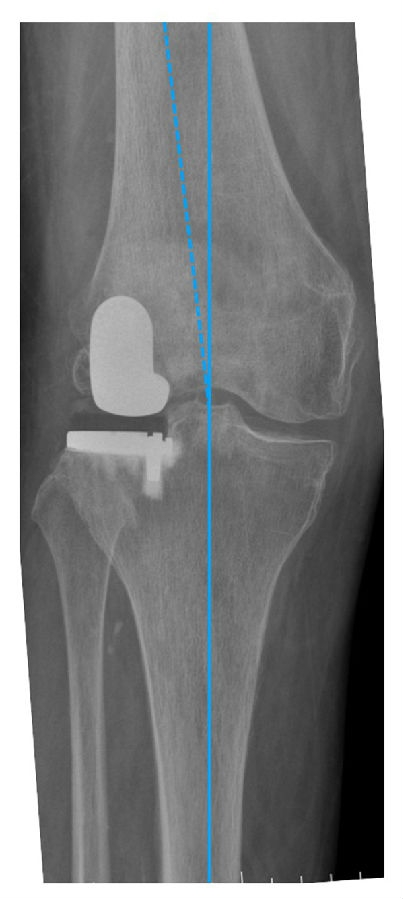
关键技术3:理想的下肢力线

HIP-Knee-Ankle line 外翻3-5°,胫骨角10-12°
LUKA 术后畸形矫正不足,保持轻微的外翻。建议LUKA术后保留3 ~ 5°外翻。

理想假体位置 A.股骨假体 胫骨假体中心线一致;B.股骨假体固定栓与后侧皮质呈35-40°
理想假体位置即前缘平稳过渡,后缘包容很好且不超出。
我们的资料1: LUKA治疗LCOA中期结果


与TKA治疗孤立性LCOA的患者相比,LUKA患者术后临床评分及满意率均较高。两组患者的生存率分析表明,两种假体的5年中期生存率相似。
我们的资料2:影响LUKA结果的多因素分析


功能满意组:ASA分级更低,初始OA诊断率更高,术后力线更偏外翻。

患者年龄、性别、BMI、术侧、假体大小、假体力线以及假体厚度等与术后功能无关。
术后功能优良的独立风险因素包括ASA分级低 (OR,21.62),初始诊断OA (OR,19.41),术前HSS评分高(OR,1.09),术后下肢力线外翻角度大 (OR,1.85)。
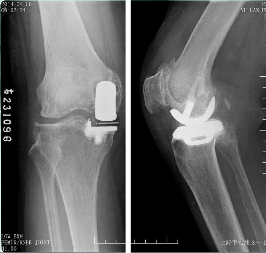
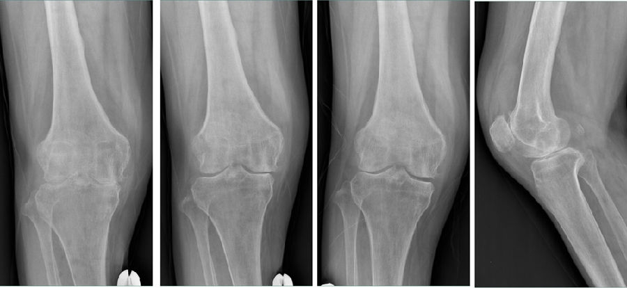
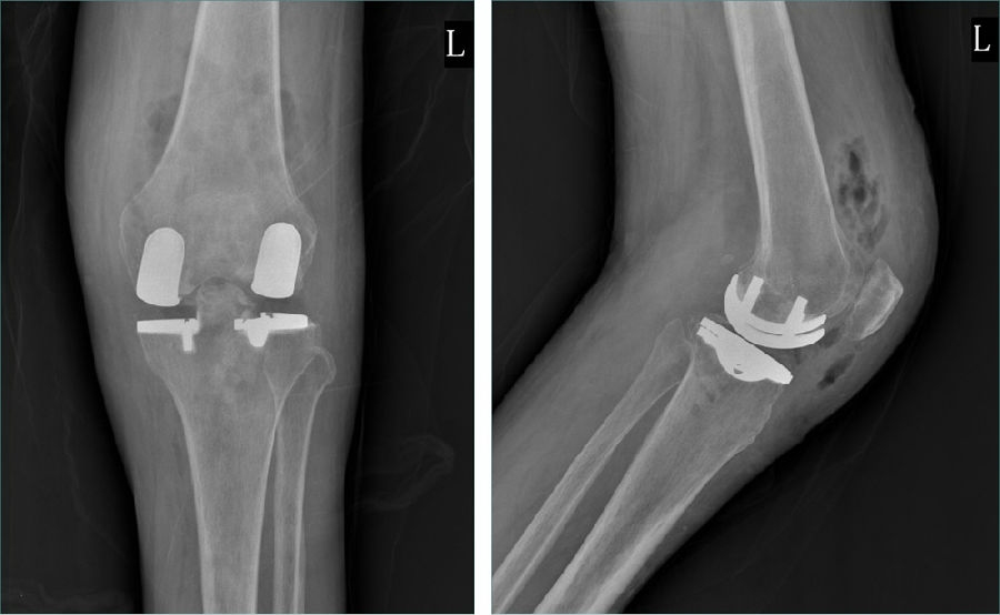
六、病例分享
Case1:LUK治疗外侧间室OA

术前

术后
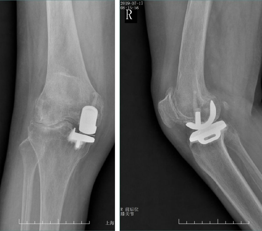
Case2:二期Bi-UKA治疗进展性OA

术前影像

术后5年,外侧进展性OA

LUKA治疗外侧进展性OA
Case3:一期Bi-UKA治疗双间室OA

术前动力位片

术前透视。A.模拟负重位B.内翻应力位C.外翻应力位D.侧位

手术切口与暴露。A.膝前正中切口B.髌旁内侧入路C.内侧、外侧股骨髁磨损,ACL功能正常

内侧单髁置换。A.截骨完成B.安装内侧假体,等待骨水泥凝固C.假体安装完成

外侧单髁置换。A.按照外侧假体,等待骨水泥凝固B.内外侧单髁假体安装完毕C.切口及引流

术后透视。A.正位B.侧位

术后1周X-ray片

术后1周下肢功能
作者简介

涂意辉,主任医师、博士生导师,同济大学杨浦医院关节外科主任
学术任职:中国医师协会骨科医师分会第五届委员会全国委员,中国医师协会骨科医师分会保膝学组副组长,中国老年保健协会骨关节保护与健康分会副会长,中国研究型医院学会膝关节部分置换研究学组副组长,中国研究型医院学会膝关节保护与矫形学组委员,上海市中西医结合学会关节病专业委员会常务委员,上海市医师协会骨科医师分会关节委员会委员,上海市医师协会运动医学医师分会委员,英国牛津大学Nuffield骨科中心fellow,《中国骨质疏松杂志》、《生物骨科材料临床研究杂志》编委等。
参考文献
SkolnickMD.(1975)Clin Orthop Relat Res;(112):208-214.
DerocheE. (2019) The Journal of Arthroplasty; 34 :1097-1104
BurgerJA. (2019) KSSTA;27:2276–2288
HillPF (2000). J Bone Joint Surg Br;82-8:1196–1198
JBJSREVIEWS 2020;8(3):e0044;
TheJournal of Arthroplasty 2020、35:21:13–17
TheJournal of Arthroplasty 36 (2021) :910-915



京公网安备11010502051256号